Ebba har vært på ultralyd
Elsebeth var rimelig sikker på at Ebba er drektig, og det har hun helt rett i.
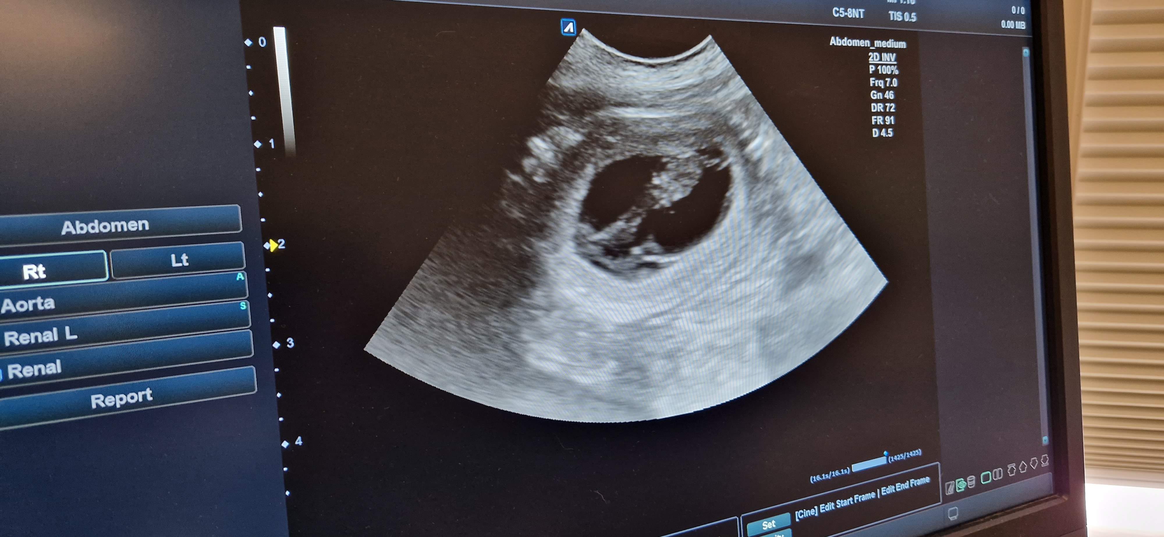
I dag var time bestilt hos verinærene på Norderhov og Anette kunne vise oss små hjerter som slår. Så ihvertfall 3 på en gang❤️
Så nå er det bare å vente i spenning til slutten av april og se hvor mange magen skjuler🥰


Spennende!
SvarSlett